Преимущества
Удобный- Умная угловая система;
- Чёткие изображения высокого разрешения благодаря фокальному пятну 0.4 мм;
- Компактные размеры и малый вес позволяют работать одной рукой;
- Интуитивно понятный пользовательский интерфейс.
- Система блокировки для предотвращения непреднамеренного облучения;
- Встроенный двойной свинцовый экран для защиты оператора от излучения;
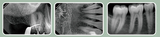
Клинические изображения

Чёткое изображение с высоким разрешением и фокальным пятном 0.4 мм

- Размытые границы — детектор
- Эффект размера фокального пятна
- Спроектирован для создания точных изображений
ЭКРАН
Встроенный двойной экран для защиты оператора от облучения
БЛОКИРОВКА
Система блокировки для предотвращения случайного включения
Технические характеристики
Вес: 1.8 кг
Размер фокального пятна: 0.4 мм
Напряжение на трубке: 65 кВ
Ток: 2.5 мА
Ёмкость аккумулятора: 2500 мАч × 4 (10,000 мАч)
Напряжение сети: 100-240 В, 50/60 Гц
Диапазон времени экспозиции: 0.02-2 с